|
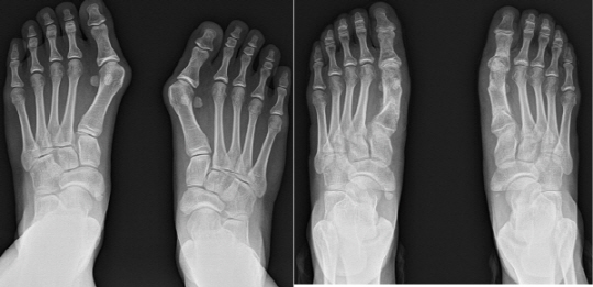
무지외반증은 엄지발가락 부위가 선/후천적 요인으로 돌출되는 질환이다. 변형은 한 번에 그치지 않고 시간이 지날 수록 그 정도가 심화된다. 발은 우리 몸 2% 남짓 작은 면적에 수백의 인대, 신경, 혈관조직이 분포되어 있다. 변형이 심화되면 이런 주변 조직손상을 피할 수 없고, 관절탈구, 보행불균형 탓에 족부 뿐 아니라 무릎, 고관절, 척추 합병증이 필연적으로 발생하게 된다. 때문에 전 세계적으로 변형각도가 15도 이상이 중등도 단계에서부터 빠른 치료가 요구되는 것이다.
보편적으로 시행되는 무지외반증 수술은 돌출된 뼈만 깎고 봉합하는 방식이다. 술 후 예후는 좋지만 심한 통증이 발생한다. 정형외과 학회에서 술 후 통증측정 지표인 VAS SCORE(10점 만점)에서 위 술식은 평균 7점으로 매우 심한 통증임을 알 수 있다. 이같은 심한 통증은 긴 입원기간으로 이어지는데 건강보험심사평가원에 따르면 국내 무지외반증 환자 평균 입원기간은 10일 이상이다. 따라서 환자의 수술부담은 객관적 수치상 분명 일리가 있다.
이호진, 배의정 원장은 "교정술은 뼈를 깎아 정렬을 맞추지 않는다. 돌출 부위에 실금을 낸 후 내측으로 당겨 정렬을 맞춘 후 정렬이 틀어지지 않도록 일정기간 핀으로 고정하는 방식이다. 평균 20분 내외 짧은 수술시간과 술식의 변화와 수술 부위에 통증을 최소화하는 복합약물주사 투여로 통증이 크게 경감되어 빠른 회복과 양측 무지외반증 동시교정이 가능하다"고 설명했다.
실제 이들이 발표한 SCI 논문에서 교정술 및 복합약물주사 투여 환자 VAS SCORE는 평균 2점으로 기존 술식보다 무려 3.5배의 통증경감 효과와 평균 입원기간도 불과 2일로 5배 가량 빠른 회복과 술 후 사고/부상 등 외상요인을 포함해도 합병증 발생률은 1%미만의 높은 수술성공율을 보이며 교정술 도입이 치료부담 개선에 큰 도움이 됨을 확인할 수 있었다.






