|
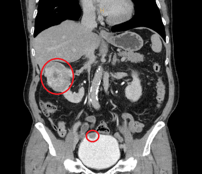
[스포츠조선 장종호 기자] 순천향대학교 부천병원 비뇨의학과 이상욱 교수가 최근 73세 고령 환자의 7㎝ 크기 '신세포암'을 로봇 부분절제술로 제거해 신장 기능을 보존하는 데 성공했다고 12일 밝혔다.
이상욱 교수는 "환자에게서 두 가지 암이 동시에 발견되고 신장 종양 크기도 컸지만, 신장 기능을 지키는 것이 환자의 삶의 질에 매우 중요하다고 판단해 부분절제술을 선택했다"며 "순천향대 부천병원은 다양한 고난도 로봇수술 경험을 바탕으로 환자 맞춤형 수술을 시행해 최적의 치료 결과를 만들고 있다"고 말했다.
장종호 기자 bellho@sportschosun.com
|








