국내연구진이 뇌종양 발생을 억제할 수 있는 새로운 신호전달경로를 규명해 암 치료제 개발에 새로운 전기를 마련했다.
이번 연구 성과는 뇌종양의 발생에 관련된 EZH2 유전자의 기능을 규명하고 이 유전자 억제시 괄목할만한 암 억제 효력을 입증한 세계 최초의 사례라는 게 삼성병원측의 설명이다.
EZH2는 지금까지 전사억제제로서의 발암유전자로 비교적 잘 알려져 있지만 또 다른 기능은 아직까지 구체적으로 밝혀진 바가 없었다.
난치암연구사업단 연구팀은 뇌종양 환자유래세포를 이용해 발암유전자인 EZH2가 암 줄기세포 증식유전자인 STAT3와 연결돼 신호전달계를 활성화시키고, 이 과정에서 뇌종양줄기세포의 종양형성능력을 촉진시켜 뇌종양이 성장한다는 새로운 메커니즘을 규명했다.
이러한 메커니즘을 견고하게 뒷받침하는 실험결과로서 뇌종양 줄기세포에 EZH2를 억제하자 종양의 크기가 현저히 줄어드는 효과를 보였으며, 또한 이 결과를 뇌종양 아바타마우스를 이용해 검증한 결과 아무런 치료를 하지 않은 경우에 비해 EZH2-STAT3 신호전달을 억제할 경우 평균생존기간이 약 1.5배 증가 하는 것을 확인했다.
이번 연구결과는 EZH2를 기능적으로 저해함으로써 뇌종양줄기세포의 자기재생능력과 생존에 관련돼 있는 다양한 주요 신호전달체계를 조절할 수 있음을 밝혀 뇌종양 치료에 다가갈 수 있는 새로운 치료 타깃을 발굴했다는 점에서 의미가 크다.
나성률 기자 nasy@sportschosun.com
→전사억제제
'전사'라는 것은 DNA에 기록된 유전정보를 RNA로 옮기는 과정이며, 세포의 발생과 성장에 있어 가장 핵심적인 단계이다. '전사억제제'는 DNA에서 RNA로 전사되는 과정(DNA → RNA)을 못하도록 방해해 암을 유발시키게 된다.
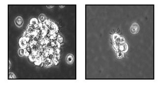
◇ 뇌종양 줄기세포(A)에 EZH2를 억제한 결과 뇌종양 줄기세포가 크게 줄어(B)들었다.
|






