일산에 사는 62세 김모씨는 평소에 앉았다 일어날 때 마다 무릎 통증이 심해져 병원을 찾았다.
특히 퇴행성 관절염의 경우 활동 후에 통증이 증가하는 양상을 보여 잠잘때 아프게 되는 특징이 있다. 또한 걷거나 뛸 때 심해지고 쉴 때에는 통증이 완화되는 양상을 보이게 된다.
척사랑신경정형외과의원이동봉 원장은 "퇴행성 관절염이 진행되면 대부분오다리 변형이 동반된다 이럴 경우 미관상의 문제뿐아니라 통증이 심하며 연골판, 연골등의 손상을 진행시키기에 적절한 치료가 필요하다"고 말했다
또한 이동봉 원장은 "대게 환자들은 수술하면 인공관절을 흔히 생각하는데 인공관절 치환술은 관절염이 있는 뼈와 인대를 제거하고 특수 금속 및 플라스틱으로 치환하는 마지막 치료 방법이며 시술 후 15 ~ 20년정도 후 재수술이 필요한 경우가 많고 재 치환술의 경우 수술이 어렵고 결과가 좋지 않아 최근에는 근위경골절골술의시행 건수가 증가하는 추세"라고 덧붙였다.
◆근위경골절골술 관련 Q&A
Q. :근위경골절골술이란 어떤 수술인가?
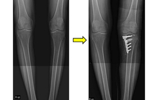
A :퇴행성관절염에 시행되는 근위경골절골술은 경골의 내측에서 변형이 필요한 만큼 절골하여 개방시킨 후 금속물로 고정하고 골이식을 하는 수술이다. 무릎은 세개의 구역으로 나누는데 내측, 외측, 슬개대퇴 구획으로 나뉜다. 대게 무릎의 관절염 환자들은 한 구획을 침범하는 경우가 많으며 대부분 내측의 침범이 많다. 이런경우 하지의 정열을 재조정하여 체중부하를 아프지 않은 쪽으로 옮겨서 통증을 줄이고 관절염의 진행을 늦추고 회복되도록 도움주는 방법이 근위경골 절골수술이다.
Q :경골 절골술은 어떤 환자에게 시행할 수 있나?
A :절골술의 대부분의 경우 60~65세 이하의 젊고 , 활동도가 높은 내측의 관절염 환자에게 시행할 수 있으며 자기 관절을 이용하여 치료하는 방법으로 활동이 많은 환자는 인공관절치환술 보다는 절골술을시행한다.
Q :근위경골절골술의 장점은 무엇인가?
A :퇴행성 관절염에서 자기관절을 보호하며 치료하며 수술 후 예후가 좋은 방법으로 모든 뼈와 인대를 제거하는 인공관절치환술의 시행 시기를 늦출 수 있는 장점이 있다. 절골술의 경과가 좋으며 10년 생존율이 90% 정도로 보고가 되고 있다. 수술 후 10~20년 후에 퇴행성이 진행되어도 인공관절치환술로 쉽게 대치 할 수 있다.
Q :주의할 점과 당부할 점이 있다면?
A :절골하는 위치나 크기를 정확히 계산 후 시행하는 수술로 수술과정에서 원하지 않는 골절이 발생될 수 있고, 교정이 원하는 정도로 되지 않는 경우도 있을수 있기 때문에 실력있는 전문의와 시설이나 장비가 갖춰져 있는 병원의 진료를 보시는 것이 좋다. 무엇보다도 평소의 바른 생활습관과 운동등으로 관리를 하시는 것이 필요하다. 퇴행성 관절염의 경우 비나 눈이오는 날씨나 추운날씨 등에 영향을 받을 수 있어 항상 관리가 필요한 질환이다.
송진현 기자 jhsong@sportschosun.com
|






