[스포츠조선 전영지 기자]손흥민의 전 동료, 토트넘 '컬트 히어로' 에릭 라멜라가 고관절 수술 근황을 전했다.
아르헨티나 국대 공격수 출신 라멜라는 지난해 전격 은퇴를 선언했다. 손흥민과 동갑내기 1992년생인 라멜라는 고질적인 고관절 부상으로 인한 극심한 고통을 11년 넘게 견디며 그라운드에 서오다 결국 33세의 나이에 은퇴했다.
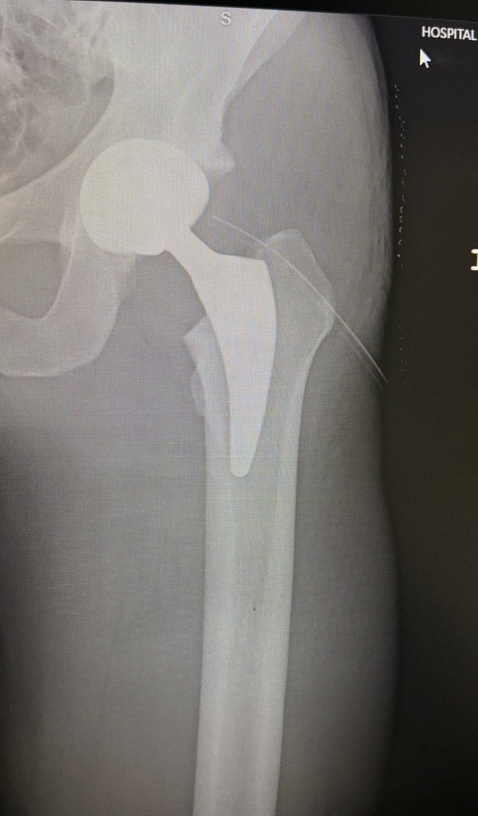
라멜라는 29일(한국시각) 자신의 SNS를 통해 '인공 고관절 치환 수술' 근황을 직접 전했다. 병원에서 찍은 사진들과 엑스레이 스캔 사진, 수술 모습이 담긴 짧은 영상을 공개한 후 '조금 아프긴 하지만 새로운 고관절을 갖게 됐다. 이 인공관절이 고통 없는 삶의 시작이 되길 바란다'고 썼다. '모두에게 안부를 전하며 항상 응원 메시지를 보내주시는 모든 분들께 감사드린다'고 덧붙였다.
지난해 라멜라는 'TyC 스포츠'와의 인터뷰에서 자신의 고관절 문제를 솔직하게 털어놓은 바 있다. 당시 그는 "오랫동안 나를 괴롭혀온 신체적인 문제 때문에 은퇴했다"면서 "이 문제에도 불구하고 가능한 한 축구를 즐기며 최선의 방식으로 커리어를 마무리하고 싶었지만, 상황이 꽤 어려웠다. 연골 마모와 퇴행성 관절염이 진행돼 문제가 더욱 심각했다"며 은퇴의 이유를 설명했다.
"지난 몇 년은 고관절 상태가 점점 더 악화돼 예전처럼 훈련할 수 없을 정도로 심각했기 때문에 훈련 방식을 바꿀 수밖에 없었다. 내 고관절이 평일 동안 특정 성능 수준을 유지할 수 없었기 때문"이라고 했다.
라멜라는 리버 플레이트 유스 시절 축구의 미래로 주목받았고 2011년 AS로마 이적 후 토티로부터 '내 후계자'라는 극찬을 받기도 했다. 2013년 8월 2900만 파운드(약 578억원)의 이적료로 토트넘에 입단한 그는 2020~2021시즌까지 토트넘에서 8시즌을 뛰며 화려한 왼발 스킬, '라보나 킥'을 포함해 잊을 만하면 터지는 원더골로 팬들의 사랑을 받았다. 2020년 손흥민이 환상적인 번리전 80m 단독드리블 골로 국제축구연맹(FIFA) '올해의 푸스카스 상'을 받은 이듬해인 2021년 라멜라는 아스널전 환상적인 '라보나킥' 골로 푸스카스 상을 받기도 했다.
토트넘에서 8시즌을 보낸 후 세비야로 이적했고, 지난해 그리스 리그 AEK 아테네에서 선수 생활을 마감했다. 그는 은퇴 이후 이른 나이에 친정팀 세비야의 코칭스태프로 합류, 지도자로서 제2의 인생을 열어가고 있다.
전영지 기자 sky4us@sportschosun.com

