수험생 현식 군(19, 경기도 오산)은 최근 가슴 부위의 바늘로 콕콕 찌르는 듯한 증상 때문에 병원을 찾았다. 가슴 부위 통증은 지난 해부터 심해져 호흡이 불편하거나 기침이 나는 경우도 있었다. 스트레스로 인한 근육통이나 감기를 예상했던 현 군은 뜻밖에 '기흉'이라는 진단을 받았다. "기흉은 굉장히 극심한 고통을 느낀다고 들었다"는 현 군은 "그렇게까지 통증이 심하지는 않았기 때문에 단순한 시험 스트레스라고만 여겼다"고 설명했다. 현 군은 지난 해까지 170cm에 50kg 중반대를 유지했지만 1년 사이 갑자기 키가 자라 최근에는 185cm에 60kg대로 마른 체형이 됐다.
폐에서 새어 나온 공기가 흉막강에 차올라 폐를 누르게 되는 기흉은 청소년기 남성에게서 자주 나타난다. 국민건강보험공단 '기흉' 건강보험 진료비 지급자료(2007~2012)를 보면 매년 남성 기흉환자가 여성 기흉환자보다 매년 6배 가량 많이 집계됐다. 또 연령대별 수술환자 자료(2012)에서는 10대의 비율이 34.3%를 차지해 타 연령대보다 높은 구성비를 보였다. 기흉의 정확한 원인이 밝혀져 있지는 않지만 청소년기 성장과 관련이 있을 것으로 추정된다. 주로 '웃자란'(키가 몸무게에 비해 지나치게 커 버려 연약한 느낌) 체형에게서 나타난다.
흉부 압박감이나 통증은 기흉의 일반적인 증상이다. 상태가 악화되면 호흡곤란이나 기침을 동반하기도 한다. 흉막강 내 압력이 올라가 심장을 압박하는 긴장성기흉은 심장마비로 인한 사망의 원인이 되기도 한다. 흡연자에게서 기흉 발생률이 압도적으로 높게 나타나기 때문에 금연은 기흉 예방의 필수 항목이다. 하지만 담배를 끊는다고 해서 반드시 기흉을 예방할 수 있는 것은 아니다. 아직까지 기흉의 뚜렷한 원인이 발견되지 않았기 때문에 기흉 치료는 증상 초기에 적절한 대응과 재발의 최소화에 무게가 실리고 있다.
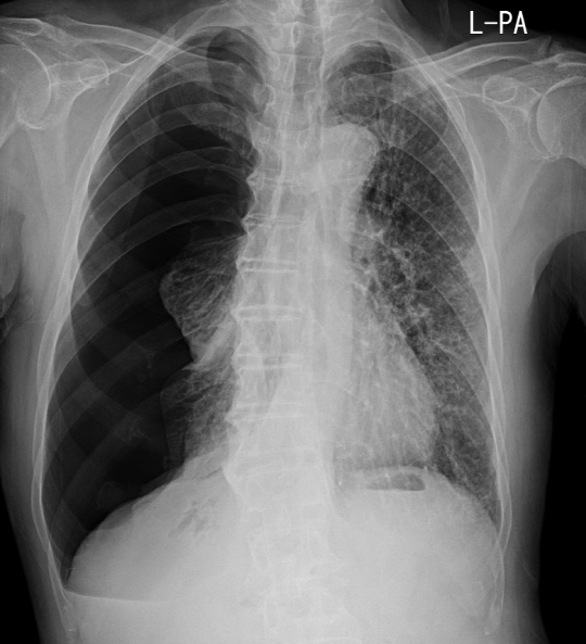
기흉의 발생 여부는 X-Ray를 통해 쉽게 확인해 볼 수 있다. 환자가 산소를 호흡해 증상이 자연스럽게 줄어들도록 하는 산소치료는 경미한 질환자를 대상으로 한다. 최근에는 흉막강 내에 튜브를 삽입해 고여 있는 공기를 제거하는 방법 또한 자주 시행되고 있다. 증상이 심각하거나 재발된 경우에는 수술이 시행되기도 한다. 수술을 하지 않을 경우 재발율이 50%에 달하는 기흉의 질환적 특성상 수술을 통한 치료는 더욱 일반화될 전망이다.
과거에는 가슴을 열어 기포를 제거하는 개흉술이 일반적이었으나 최근에는 내시경 기술이 발달하면서 내시경으로 기포를 제거하는 내시경 시술법이 기흉 치료에 폭넓게 도입돼 있다. 1cm 내외의 작은 구멍을 3개 정도 내면 되는 내시경 시술은 회복이 빠르고 흉터 부담이 덜하며, 입원 기간 또한 4~5일 정도로 짧아 환자들의 만족도가 높다.
에이치플러스 양지병원 흉부외과 김정태 과장은 "특별한 원인이 알려져 있지 않은 기흉은 담배를 끊거나 사고나 부상으로 인한 흉부 손상이 있을 때 기흉이 발생하지 않도록 적절한 진단을 받는 것이 가장 적극적인 예방책"이라며 "최근에는 간단한 시술로도 손쉽게 질환을 치료할 수 있기 때문에 신속히 병원을 찾아 초기대응에 나서는 것이 무엇보다 중요하다"고 설명했다.
나성률 기자 nasy@sportschosun.com
|






