지난 10월, 서효석 원장, 이충재 교수(충남 대학교 약학대학 약학과), 이현재 교수(삼육대학교) 연구팀의 호흡기 염증과 폐섬유화 관련 논문이 SCI급 학술지 J.T.C.M에 발표되었다.
|
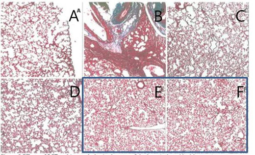
다음으로, PGT가 대기오염으로 유발된 호흡기 염증 등과 같은 증상에 어떠한 영향을 미치는지 알아보았다. 연구팀은 흰쥐에게 호흡기 염증을 유발하기 위해 이산화황에 3주간 노출시켰다. 이산화황에 노출된 그룹은 점액단백질과 기관 내 뮤신이 과다하게 분비되었는데, PGT를 투여하자 증상이 완화되었다. 또한 PGT를 많이 투여한 집단일수록 완화 폭이 크게 나타났다.
|
연구팀은 연구결과를 통해 PGT가 대기오염 물질로 인해 유발된 호흡기 염증성 객담의 과다분비 및 BLM 유발성 폐섬유화 증상을 완화하는 것으로 나타났다고 밝혔다. 또한 PGT의 완화정도가 함께 투여된 덱사메타손(스테로이드)과 버금가는 정도로 나타나, 스테로이드제제의 대안으로의 PGT의 가능성을 어느 정도 보여준 결과로도 볼 수 있다.
이충재 교수는 "연구를 통해 대기오염으로 인해 유발되는 호흡기 질환과 폐섬유화 등과 같은 질환 치료제로의 PGT의 가능성을 기대할 수 있다는 의미있는 결과를 얻었다"라며 "아직 설치류를 대상으로 한 연구인 만큼 사후 연구가 지속적으로 진행되어야 할 것이다."라 전한다. 서효석 원장은 "이번 연구를 통해 한의학의 가능성을 다시 한 번 확인할 수 있었다. 앞으로도 지속적인 연구를 통해 한방제재의 과학성을 알리기 위해 노력할 것이다."라 전한다.







