|
지난해 PRP(자가혈소판풍부혈장)치료가 신의료기술에 선정되면서 팔꿈치 통증을 갖고 있는 테니스, 골프엘보 환자들의 관심이 급격히 높아졌다. PRP는 신의료기술 평가로 인정받을 만큼 치료효과, 부담 개선에 도움이 된다. 하지만 의료기관, 뉴스, 블로그나 SNSN에 소개된 것처럼 '만능' 은 아니다.
성 원장은 "PRP 치료는 테니스, 골프엘보로 치료 받은 병력기록이 있어야만 치료 대상이 되며 모든 정형외과에서 가능한 것이 아니라 PRP 치료를 위한 전문장비와 시스템을 갖춘 뒤 정부의 허가를 받은 인증 의료기관에서 만 가능하다."며 "PRP 치료는 원심분리 후 고농축의 혈소판을 추출하기 위해서는 활용되는 PRP 키트의 성능도 매우 중요하다. 키트는 Buffy coat 추출의 용이성 제품의 안정성, 추출성능, 오염가능성 예방 등에 따라 가격에 큰 차이가 있다. 따라서 양질의 키트 사용여부 확인도 중요하다."고 설명했다.
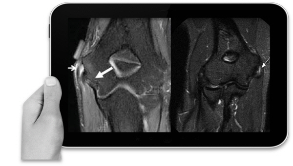
하지만 무엇보다 중요한 것은 필요한 만큼의 적정량을 필요한 부위에 시행할 수 있는지 여부라고 말했다. 테니스나 골프엘보는 내, 외측 상과부위에 염증으로 주변조직 유착 및 힘줄이 손상되는 질환이다.
따라서 손상 정도에 따라 초기-중기-말기로 구분된다. 또한 팔꿈치는 주변에 수많은 신경, 인대, 혈관 조직이 분포되어있고, 혈류공급이 원활하지 못한 저혈구간이기 때문에 성창훈 원장과 같이 주관절에 대한 해부, 생역학적 이해와 풍부한 임상경험을 갖춘 주관절 의사의 치료 여부가 핵심이라고 볼 수 있다.






