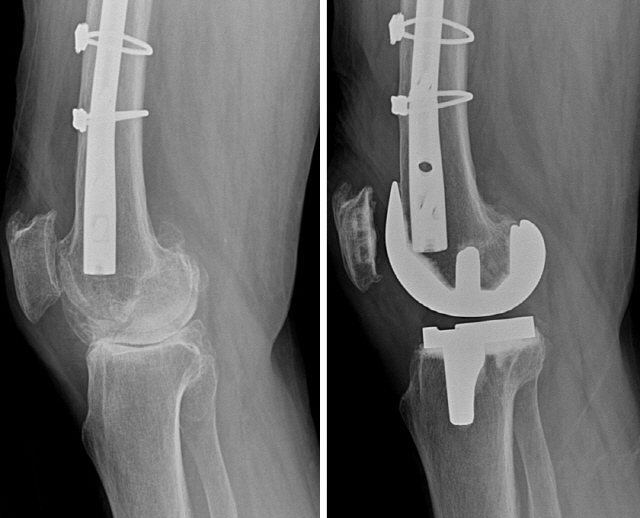
무릎주위 골절로 철심을 고정한 관절염 환자는 단순 퇴행성관절염 환자보다 인공관절수술후의 감염률이 3.5배 이상 높다.
무릎주위 골절로 철심을 고정한 관절염 환자(823명)가 단순 퇴행성관절염 환자(1640명)보다 인공관절수술후의 감염률 (4.74% 대 1.34%), 수술 및 수술 후 골절률(1.58% 대 0.55%), 재수술률 (5.47% 대 2.47%) 모두 높은 것으로 보고되었다.
따라서 외상성관절염 환자의 인공관절수술은 더욱 신중해야 한다.
서울부민병원 궁윤배 로봇수술센터장은 "컴퓨터기술의 보조(로봇, 네비게이션, 3D슌翅紈梔該瘦?로 무릎 주위에 금속고정물이 있는 환자도 안전하게 인공관절 치환술을 받을 수 있게 되었다"며 "CT기반의 사전정보 분석이 로봇인공관절수술의 적용 범위와 수술 성공에 큰 역할을 하고 있다"고 전했다.
장종호 기자 bellho@sportschosun.com
|






