|
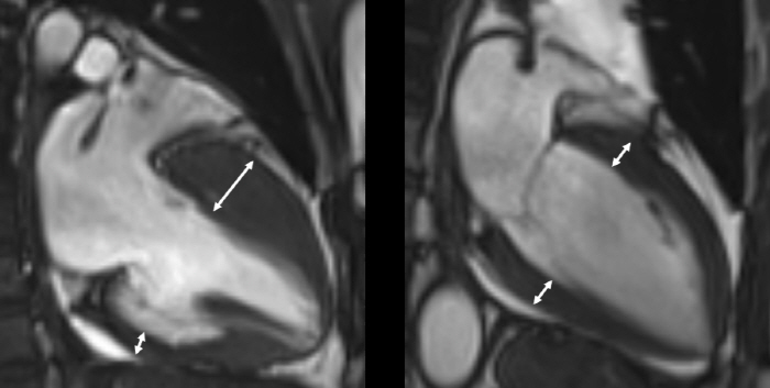
[스포츠조선 장종호 기자] '비후성(肥厚性) 심근병증'은 말 그대로 심근(심장근육)이 비정상적으로 두꺼워지는 질환이다. 심근이 두꺼워지면 근육의 수축과 이완이 원활하지 않아 부정맥이 발생하고, 때로는 치명적 부정맥이 발생해 돌연사로 이어질 수 있어 각별한 주의가 필요하다.
진단은 심장초음파, 자기공명영상 등 영상검사를 통해 이뤄지며, 비후된 심근 내에 섬유화가 진행돼 있거나, 근육조직이 지방조직으로 변성이 돼 있는 상태가 관찰된다. 하지만 이 같은 조직변성이 없는 비후성 심근병증도 있는 만큼 전문의의 종합적 판단이 중요하다.
비후성 심근병증의 치료 목표는 증상을 줄이고 심부전이나 급사와 같은 합병증을 예방하는 것이다.
비후성 심근병증 환자는 심방세동·협심증 같은 합병증이 자주 생길 수 있으므로, 증상이 없어도 정기 검사를 통해 조기에 발견하고 즉시 치료받는 것이 중요하다.
개인 병력이나 가족력 등으로 고위험군에 속하는 비후성 심근병증 환자는 부정맥으로 인한 돌연사의 위험이 있지만, 대부분의 환자는 적절한 관리와 정기적인 검사를 통해 안전하게 일상생활을 유지할 수 있다. 걷기, 요가, 가벼운 자전거 타기 등 저·중강도 운동은 심혈관 건강에 도움이 될 수 있다. 다만, 최대심박수의 70%를 넘는 고강도 운동은 안전성에 대한 근거가 부족하므로, 반드시 충분한 검사와 사전 평가를 거쳐 단계적으로 강도를 높이는 것이 바람직하다.
고려대학교 안산병원 순환기내과 김용현 교수는 "비후성 심근병증은 고위험군의 경우 돌연사로 이어질 수 있는 만큼, 가족력이나 실신 병력이 있다면 정기적인 검사를 통해 조기에 발견하고 관리하는 것이 중요하다"며 "돌연사 상황에 대비해, 보호자들은 심폐소생술과 자동제세동기 사용법을 익혀두는 것이 중요하다"고 당부했다.
장종호 기자 bellho@sportschosun.com
|








