국민건강보험공단의 통계에 따르면 지난해 국내 퇴행성관절염 환자 350만명 중 20%가 40~50대인 것으로 나타났다.
보건복지부지정 관절전문 바른세상병원 권제호 원장(정형외과 전문의)은 "좌식생활을 오래하면 무릎관절에 하중을 많이 가해지고 이로 인해 연골이 손상돼 관절염을 일찍 얻게 된다" 며 "특히 무릎의 안쪽에 하중이 많이 생기면서 연골판 및 연골의 손상이 잦고 무릎관절의 변형을 가져와 O자형 다리로 변형이 된다"고 말했다.
이어 "무릎 관절의 변형은 연골 혹은 연골판의 손상을 가속시키는데 젊은 층에서의 퇴행성관절염이 증가하는 현상 역시 이런 좌식생활과 관련 있다고 볼 수 있다"고 밝혔다.
실제로 40~50대 퇴행성관절염 환자들의 경우 '근위경골절골술'을 통해 치료하는 환자가 늘고 있다. 대한슬관절 학회가 2009~2013년 무릎 절골술 환자 수를 비교한 결과 이 기간에 수술을 받은 45∼54세 환자 수가 약 3배가 증가했다.
바른세상병원이 2014년과 2015년 무릎 절골술을 시행한 환자 351명을 분석한 결과 2014년 106명이던 40~50대 환자가 2015년에는 170명으로 늘었다.
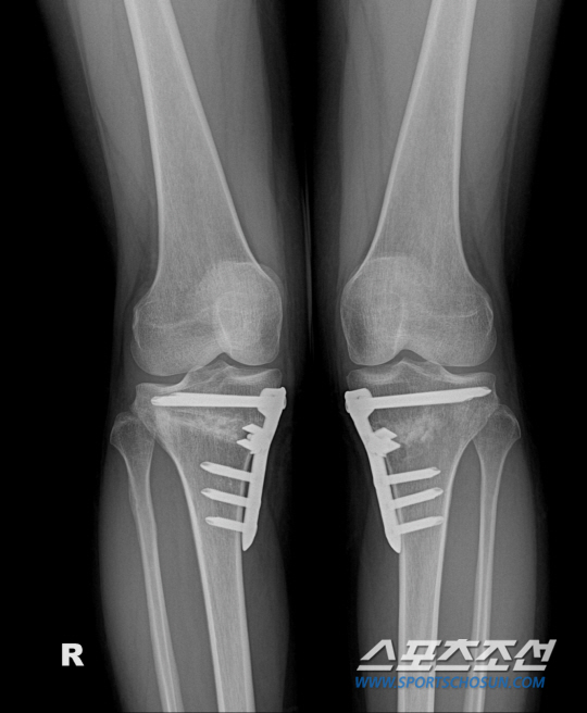
휜다리수술로 알려진 근위경골절골술은 휘어진 다리를 바르게 교정하여 무릎 내측에 집중되어 있는 무게 중심을 고르게 분산시키는 교정 수술이다. 환자가 비교적 젊은 경우(대체적으로 70세 이하), 무릎 안쪽에 퇴행성관절염인 경우, 초·중기 관절염인 경우에 적용되며 이 시기 수술의 예후가 좋다.
권제호 바른세상병원 원장은 "근위경골절골술은 휘어진 무릎을 동반한 40~60대 환자들 중 인공관절을 적용해야 할 만큼의 말기 퇴행성관절염 환자에게도 적용이 가능하다"며 "인공관절수술과는 다르게 자기 관절을 보존하는 수술이므로 수술 후에도 정상 관절과 같이 무릎의 관절각도에 제한이 없고 재활 후에는 등산과 같은 운동도 가능하다"고 말했다.
무엇보다 중요한 것은 퇴행성관절염으로 진행되는 것을 막기 위한 생활습관의 교정이다. 일상생활에서 좌식보다는 의자생활을 하고 좌식자세 중간에 일어나 휴식을 취해 무릎에 가는 하중을 줄여주는 것이 좋다. 관절염이 발병하기 전 미리 자신의 관절을 돌보는 것이 건강한 중년을 보내는 최선이다.
이규복 기자 kblee341@sportschosun.com
|






