|
안와란 눈을 둘러싼 뼈와 근육, 지방, 혈관, 신경, 눈물샘을 일컫는다. 흔하지 않지만, 안와에도 종양이 생길 수 있다.
안와 양성 종양은 생긴 위치에 따라 다양한 증상을 유발한다. 시신경 근처에 생기면 시력 저하, 시야 감소 증상이, 안구를 움직이는 근육이나 신경 근처에 생기면 안구운동장애, 복시, 사시 등 증상이 나타난다. 눈물샘이나 안구 뒷부분에 종양이 커지면 안구 돌출이나 눈꺼풀 부종이 생길 수 있다. 그 외 위치에 따라 결막부종, 종괴, 눈꺼풀 처짐도 나타날 수 있다.
안와 양성 종양 종류는 매우 다양하며, 종양에 따라 잘 생기는 연령, 성별도 다양하다. 유피낭종과 표피모양낭종은 안와낭종으로 분류되며, 주로 소아에서 발생하는 특징이 있다. 다형샘종은 눈물샘에 생기는 종양으로, 40대 남성에서 자주 발생한다. 시신경교종은 시신경에 생기는 종양으로, 중년 여성에서 더 많이 나타난다. 그 외에도 수막종, 신경집종, 혈관성 종양인 영아혈관종, 고립섬유종, 해면혈관종 등 다양한 종류가 있다.
장선영 교수는 "안와 양성 종양은 아직 원인이 명확히 밝혀지지 않아 예방하기 어렵다. 따라서 갑자기 평소와 달리 눈에 뭔가 만져지거나 외관상 변형이 생기면 반드시 안와 양성 종양을 의심하고 안과에서 빠르게 검진을 받아봐야 한다"고 말했다.
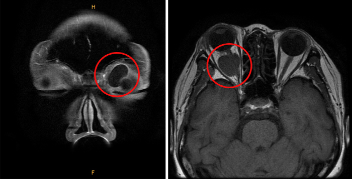
안와 양성 종양은 일반적으로 수술을 통해 제거할 수 있으나, 발생 위치에 따라 합병증 발생 위험이 있을 수 있으므로 신중하게 치료 방향을 결정해야 한다. 먼저 수술 전 CT 및 MRI 검사를 통해 종양의 크기, 위치, 성상을 정확하게 파악하고 분석한다. 안와 앞쪽에 위치한 종양은 상대적으로 쉽게 제거할 수 있다. 흉터 없이 제거하기 위해 쌍꺼풀 라인을 따라 절개하고 수술을 진행하기도 한다.
안와 뒤쪽에 위치한 종양도 종류에 따라 박리가 비교적 쉬운 종양도 있으나, 일부는 합병증 발생 위험이 있다. 특히 안구 뒤쪽으로 시신경이 뇌와 연결되는 구멍이 있는 '안와첨'은 좁은 공간 내 많은 신경과 혈관, 외안근 시작 부위 등이 가깝게 자리 잡고 있어, 종양 수술 후 합병증 발생 위험이 높아 수술 여부를 신중하게 검토해야 한다. 이에 안와첨 종양은 수술이 아닌 사이버나이프 같은 방사선치료를 통해 크기를 줄이는 치료를 시행하기도 한다.
안와 뒤쪽 공간에 종양이 발생하면, 종양의 크기가 꽤 커질 때까지 환자가 증상을 느끼지 못하는 경우가 많다. 시력이나 시야에 이상이 없고, 안구 움직임에도 영향을 주지 않는 양성종양의 경우 경과 관찰을 하는 것으로 치료 방향을 결정하기도 한다.
장선영 교수는 "종종 안와 주위 뇌, 코곁굴과 같은 주변 조직과 관련성을 고려해야 하는 경우도 있다. 따라서 최상의 치료 결과를 위해 영상의학과, 신경외과, 이비인후과, 방사선종양학과, 성형외과 등 각 분야 전문가와의 원활한 협업이 중요하다"고 전했다.
이어 "안와 내에는 안구와 함께 구조물들이 복잡하게 자리 잡고 있으며 수술 부위가 매우 좁다. 또, 종류와 위치에 따라 어떤 치료 방법이 가장 적절할지 결정하고 계획해야 하므로 전문 지식과 풍부한 경험으로 숙련된 성형 안과 전문의에게 적절한 진단과 치료를 받는 것이 관건"이라고 조언했다.
장종호 기자 bellho@sportschosun.com
|







