|
[스포츠조선 장종호 기자] 13세 소년이 초강력 네오디뮴 자석 약 100개를 삼킨 뒤 장기 괴사 증세를 보여 장 일부를 절제하는 대수술을 받았다.
내용을 보면 타우랑가시에 거주하는 13세 소년은 복통 증세로 타우랑가 병원에 입원했다.
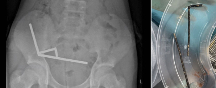
복부 엑스레이 검사 결과, 자석들이 자기력에 의해 서로 붙어 장기 내 여러 부위에 선형으로 분포되어 있었고, 이로 인해 소장과 대장의 일부인 맹장에 괴사(조직 사멸)가 발생했다.
의료진은 자석 제거와 함께 괴사 부위의 장을 절제하는 수술을 진행했고, 소년은 8일간의 치료 후 퇴원했다. 수술 날짜는 공개되지 않았다.
논문을 공동 집필한 의료진은 "이번 사례는 자석 삼킴의 위험성과 함께 아동·청소년이 온라인 쇼핑몰에서 쉽게 위험한 제품에 접근할 수 있다는 점을 경고한다"고 밝혔다.
다수의 자석을 삼키면 장기 내에서 서로 붙으며 압박 괴사, 천공, 폐색, 누공, 패혈증 등의 심각한 합병증을 유발할 수 있으며, 대부분 수술이 필요하다. 수술 후에도 장 유착으로 인한 폐색, 복부 탈장, 만성 통증 등의 장기적 문제가 발생할 수 있다고 경고했다.
한편, 뉴질랜드는 2013년 어린이의 자석 삼킴 사고가 잇따르자 고자력 소형 자석의 판매를 금지한 바 있다. 하지만 해당 제품이 여전히 온라인에서 쉽게 구매 가능하다고 외신들은 지적했다.
장종호 기자 bellho@sportschosun.com







