|
|
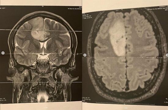
[스포츠조선닷컴 이지현 기자] 넷플릭스 스타 배우 바튼 카우퍼스웨이트(Barton Cowperthwaite)가 뇌종양 진단을 받았다.
그는 "수술이 성공적으로 끝나면 재활치료 후 (놀랍고, 재능있고, 뛰어나고, 웃긴) 내 모습 그대로 꼭 복귀하겠다"라는 의지를 밝히며 "수술은 다음 주 중순이나 말에 할 계획이다. 투병과 수술, 재활 여정에 대해 계속해서 공개하겠다"라고 덧붙였다.
신경교종은 뇌 또는 척수를 구성하는 세포에서 발생하는 종양으로 절반 이상이 악성으로 재발 우려가 높은 것으로 알려졌다.
olzllovely@sportschosun.com







